Save Money and Your Mouth with Nonsurgical Periodontal Treatment
Do you often find yourself with dry mouth, bad breath or toothaches? Are your gums swollen, bleeding or receding? If so, there’s a good chance you have periodontal disease, and it’s time to visit a dentist in Wollongong. There are several periodontal disease treatments that can be performed depending on severity, but hopefully, you’ve taken action early enough to avoid surgery. Once your dentist diagnoses the problem, nonsurgical treatment will be the first plan of attack. Much more cost effective and less invasive, nonsurgical periodontal treatments aim to clean pockets of bacteria and prevent more damage. Periodontal treatment procedures accompanied by a daily routine of good oral care at home are usually enough to set you on a path toward healthier gums and fix your dental problems. And better yet, by avoiding surgery, you’re saving big bucks in the long run.
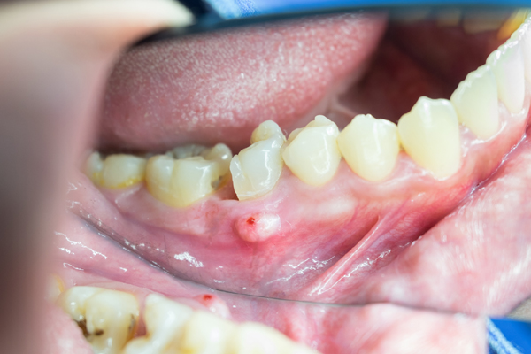
What causes periodontal disease?
– Poor oral hygiene
– Bad habits like smoking make it tough for gum tissue to heal itself
– The family history of gum disease
– Hormonal changes, which make gums more sensitive
– The weakened immune system caused by illnesses including cancer, HIV, and diabetes.
– Certain medications causing the decreased flow of saliva or abnormal growth of gum tissue
What are nonsurgical periodontal treatments?
Scaling & Root Planing
Do you brush and floss every day? Even if you do, plaque and tartar may get left behind providing the right conditions for bacteria to thrive. Scaling will remove tartar, plaque, and bacteria on the tooth surface and beneath your gums. Root planning smoothes the surface of the roots to discourage the buildup of tartar.
Antibiotics
Your dentist may suggest using topical or oral antibiotics to control bacterial infection. After a deep cleaning, using mouth rinses and/or injecting pellets of antibiotics in between the teeth and gums can eliminate infection-causing bacteria.
While nonsurgical therapy remains the cornerstone of periodontal treatment, your dentist may recommend periodontal surgery. When the tissue around your teeth is so unhealthy that it can’t be repaired, you may require more invasive tactics such as pocket reduction, regenerative procedures, crown lengthening and soft tissue grafts. If you’ve already lost a tooth to periodontal disease or from unrelated reasons, you may be interested in dental implants or other cosmetic procedures, to help you achieve the smile you desire. But keep in mind, these options are often much more expensive than taking the nonsurgical route, so you’ll want to try your best to maintain a healthy mouth.
When you notice a change in your gums and teeth, or you want to consider cosmetic procedures, keep in mind periodontal treatments are affordable – Call a dentist today!

